글을 시작하며
오늘은 호띵이의 1차 정밀 초음파 검진 날이었다. 정밀 초음파 검진은 이전의 초음파 검진과는 다르게 부부 동반 진료가 가능하였다! 그리하여 병원에는 매번 같이 갔었지만 처음으로 실시간 초음파 검진을 입회한 날이기도 하다.

정밀 초음파 후기
임신 초기 (12~13주)에 시행하는 초음파는 태아 목덜미 검사로 염색체 이상에 대한 선별 검사다. 목덜미 투명대 두께의 증가는 여러 가지 구조이상과 연관이 있으며 증가된 이유로는 다운 증후군과 같은 염색체 이상의 가능성과 심장기형 및 흉곽 기형과 같은 태아의 구조적 이상 유무 등이 있을 수 있어 정밀 초음파로 문제 여부를 확인한다고 하여 검진을 받기 위해 이전과 같이 일찍 퇴근해 호띵엄마와 병원에 갔다. 그동안 영상으로만 봤으나 직접 호띵엄마와 함께 진료실에서 초음파를 보니 호띵이의 아빠가 된다는 게 더 실감이 났다. 뱃속의 호띵이는 10분간의 진료 동안 정말 쉴 새 없이 움직였다. 그 모습을 보고 있자니 웃음이 났다. 얼마나 빨리 나오고 싶으면 벌써부터 가만히 있지를 못하고 계속 움직이다니! 아래는 영상의 일부를 GIF로 변환해 본 것인데 움짤 속 호띵이는 부끄러운지 손으로 얼굴을 가리고 있다.

정밀초음파 속 호띵이는 귀도 잘 크고 있고 코뼈도 정상적으로 잘 크고 있는 것으로 보였다. 그리고 손과 발을 쉴 새 없이 움직이는 것을 보고 운동량도 상당하는 것을 알 수 있었다. 정밀 초음파를 마치고 담당 의사 선생님의 진단 결과를 기다렸다. 담당 의사 선생님이 워낙 친절하셔서 그런지 갈 때마다 대기환자가 정말 많다. 30분가량의 기다림 후 의사 선생님의 검진 결과를 받게 되었다. 호띵엄마에게 진단 내용을 전달받았는데 태아 목둘레가 2.5mm 이상이면 문제가 될 수 있다고 하였으나 우리 호띵이는 1.4mm로 문제없이 잘 크고 있음을 확인하였다. 12주 차 검진으로는 성별은 알 수 없고 1개월 후에 2차 정밀초음파 때 알 수 있다고 하였다. 호띵이가 어떤 성별이든 건강하게 태어나 주길 바란다.
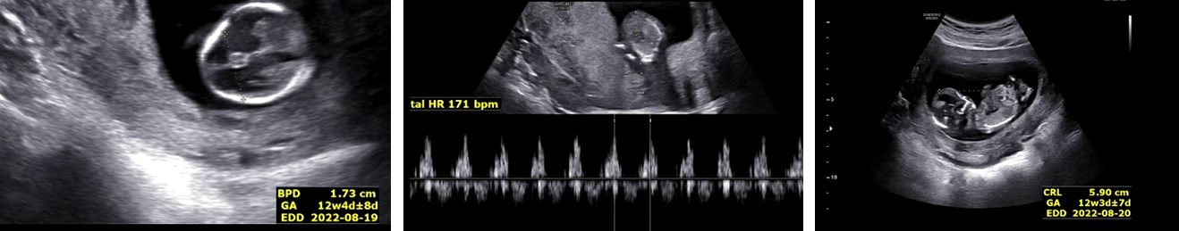
12주 차 호띵이 성장상태

머리 크기 : 1.73 cm , 심장박동수 171 bpm, 크기 5.9cm 초음파 진찰을 봐주셨던 간호사 선생님이 또래에 맞게 건강하게 잘 자라고 있다고 하였다. 엄마 뱃속에서 잘 지내고 있다고 하니 짠하기도 하고 감격스럽기도 하였다. 호띵이 태어나면 같이 맛있는 것도 많이 먹고 여행도 자주 다니고 싶다.

3가지 추가 피검사
담당 의사선생님의 진료를 마치고 피검사를 받았다. 1차 피검사 + 갑상선 검사로 3번의 피를 채혈했다. 피검사 결과는 1달가량 후에 나온다고 하는데 호띵엄마의 피 건강이 좋기를 바란다. (지혈까지 10분가량 걸린 듯하다)
국민 행복카드 및 1차 기형아 검사 쿠폰 사용 후기 (정밀초음파 진료비)

처음 진료비 155,000원에서 임산부 기형아 검사 쿠폰 사용 및 진료받으면서 친해진 행정 담당 간호사 선생님의 도움 덕분에 추가 할인을 받아 총 122,300원의 진료 비용이 발생하였다. 기형아 쿠폰으로는 24,000원 할인이 가능하다고 하였다. 10주 차 진료 때와 같이 국민 행복카드로 진료비를 결제하였다. 국가에서 지원을 잘해주니 기분 좋게 병원을 나올 수 있었다.
호띵아빠 육아일기 (10주차 아기 초음파 사진 후기 , 산본 제일병원)
지난 육아일기 2022.01.04 - [육아일기] - 호띵아빠의 육아일기 (4~7주차) 호띵아빠의 육아일기 (4~7주차) 글을 시작하며 엄마 뱃속에 곤히 잠자고 있는 호띵이를 생각하며 나의 생각들을 기록하는 습
hoddingdaddy.tistory.com
주수별 영양 가이드

철분제 구매 후기 (닥터 퍼스트 맘 Ⅱ)
지금까지 엽산, 비타민 D, 유산균은 잘 먹고 있다. 그리고 14주부터 철분을 먹어야 된다고 하여 병원 진료 온 김에 철분제를 구매하고자 하였다. 병원 진료실 옆에 있는 약 상담사 님께 구매하고자 하였으나 국민행복카드 사용불가라고 하여 병원 밖의 약국에 들러 철분제를 구매하였다.

호띵엄마가 역류성 식도염도 있다고 하여 담당의사가 처방해준 역류성 식도염 약을 사러 가면서 함께 철분제도 구매하였다. 이 또한 국민행복카드를 통해 구매하였는데 국민행복카드를 쓸 때마다 혜택을 받는 느낌이라 기분이 좋았다. 철분제를 구매할 때 약사의 추천을 받아서 구매하였는데 닥터 퍼스트 맘이 철분 함량이 많다고 추천을 해주셨다. 처음에 마더스 철분제를 구매하려다가 약사님 말을 듣고 닥터 퍼스트 맘을 구매하였다. 칼슘도 같이 구매하려고 했는데 약국 내 칼슘이 명절 후라 재고가 없다고 하여 다음 진료받으러 올 때 칼슘은 별도로 구매하기로 호띵엄마와 이야기했다.
에필로그


오늘은 정밀 초음파다 보니 사진들이 많아서 호띵엄마 초음파 사진첩 3페이지를 사용하였다. 호띵엄마도 호띵이의 건강한 모습을 보면서 안심하기도 하고 뿌듯해하는 모습을 보았다. 다음 진료는 정밀 초음파는 아니고 이전의 검사와 같이 일반 검진인데 그때는 더욱 건강한 모습으로 만나길 바란다 호띵아. 오늘도 엄마 뱃속에서 잘 크고 있으렴!
'육아일기' 카테고리의 다른 글
| [16주 3일차 육아일기] 16주차 초음파 후기 및 성별 간접 확인하기 (0) | 2022.03.08 |
|---|---|
| 산본제일병원 근처 산후조리원 투어 후기 (베네라/맘스포레/산본/신산본 조리원) (2) | 2022.03.06 |
| 최종 태아보험(10년납)&실손보험 선택 (현대해상) [월납입 4만원대] (6) | 2022.02.04 |
| 태교 동화 선택하기 (FEAT.밀리의 서재,하루 5분 태교동화 읽기) (0) | 2022.01.28 |
| 10년 납 태아보험 수정 (현대해상 태아 보험 담보 분석) (2) | 2022.01.26 |