글을 시작하며
정기 초음파 검진을 받고자 병원 예약을 하였다. 3/25 16:05분 예약을 하여 미리 병원에 가서 대기하였다. 여느때와 같이 사람이 많았고, 15:30분쯤 미리 가있었는데 17:00즈음에 진료를 시작하였다.
호띵엄마 건강 관찰 일지
초기부터 16~17주까지는 양치덧이 있었다. 고기류를 잘 먹지 못하였고 먹더라도 과일 조금이나 계란정도를 먹을 수 있었다. 그리고 몸이 안좋아서 자주 누워있었으며 항상 숙취느낌이 있다고 했고 (특히 식후) 양치를 하면 토할것 같은 느낌이 든다고했다. 조금 움직여도 체력이 금방 고갈되었고, 밖에 나오는 것을 좋아하지 않았었다. 또한 자기전과 새벽에 화장실을 엄청 자주 가서 힘들어 했다. 17주차부터는 컨디션이 좀 괜찮아진 것 같다고 하고, 음식도 잘 먹었다. 그렇다고 모든 음식을 잘 먹은 것은 아니고 구운고기 및 해물류를 제외하고 전체적인 음식에 대해 먹성이 좋아졌다. 초기에는 살이 좀 빠지더니 컨디션을 회복하고는 조금씩 몸무게를 회복하고 있는 중이다. 그리고 배도 조금 나오고 있는 것을 보면서 호띵이도 잘 크고있다는 것을 체감할 수 있었다. 간단한 산책도 1시간정도는 할 수 있는 정도가 되었고, 허리는 조금 아프다고 하는데 최대한 건강을 챙기고자 같이 임산부 스트레칭을 주2회 이상하고자 노력중이다.
호띵이 진료 후기

BPD 4.78 cm → 20주 3일차 성장상태
CRL 14.22 cm → 18주 성장상태
BPD/CRL 로 성장상태 보는 법 : 링크 클릭
[16주 3일차 육아일기] 16주차 초음파 후기 및 성별 간접 확인하기
글을 시작하며 오늘은 호띵엄마가 호띵이와 만난지 16주 3일이 된 날이다. 호띵엄마와 호띵이의 건강상태를 확인하고, 성별을 간접적으로 확인하기 위해 산부인과 진료를 받기로 한 날이기도 하
hoddingdaddy.tistory.com
[심장박동수 : 156bpm]

호띵이는 건강하게 잘 크고 있다. 그리고 이번 초음파에서는 호띵이 얼굴을 간접적으로 볼 수 있었다.

위의 사진을 보면 눈/코/입이 잘 크고있음을 볼 수 있다. 예정일도 8/9일 로 앞당겨졌고 앞으로 얼마나 더 잘 클지 기대된다.
성별이 바뀔 수 있다?
지난글 (16주차)에서 호띵이의 성별을 확인했었다. 남자아이로 예상했는데 그게 이번 진료에서는 탯줄에 겹쳐져서 튀어나온것이 탯줄일 수 있다고 의사선생님께서 말씀하셨다고 한다. 이번진료에서는 호띵이 성별 확인을 열심히 하셨다고 하는데 제대로 확인은 못하였다고 한다. 추후 정밀초음파에서 확실히 확인할 수 있을걸로 기대된다.
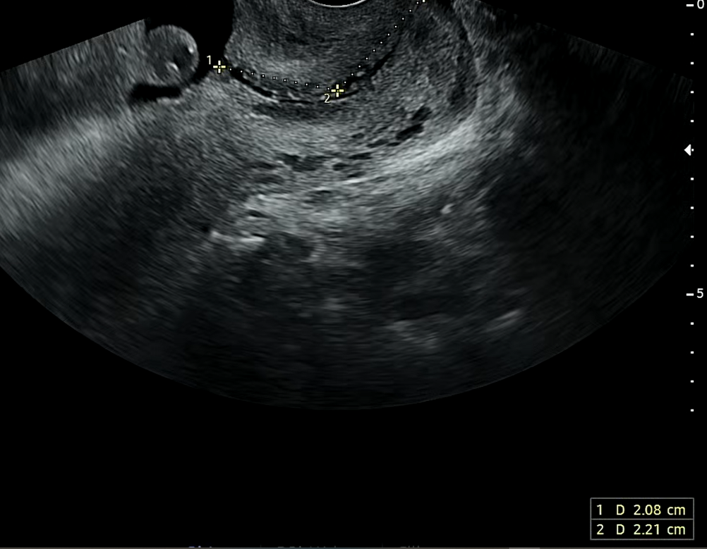
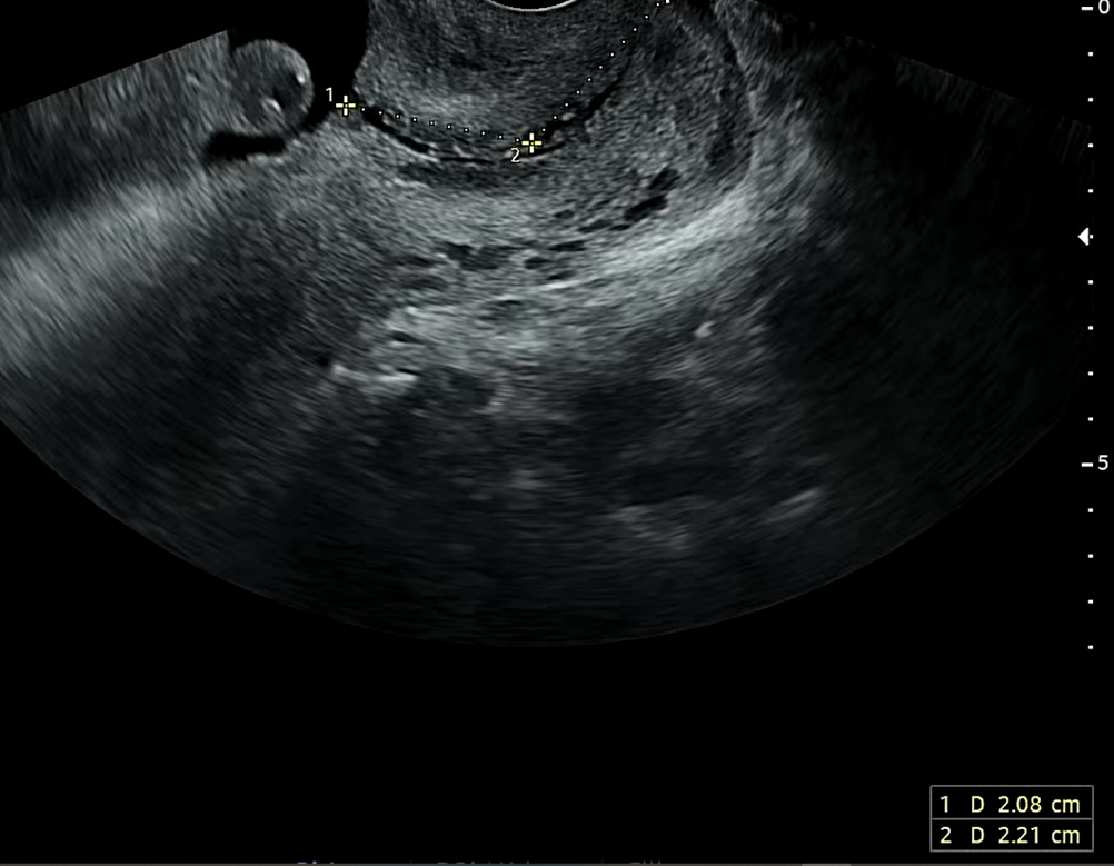
호띵엄마 자궁경부길이

총 4.29cm로 자궁경부길이는 양호하다고 한다. 1시간 가량 산책해도 문제없다고 하셨다는데 앞으로 시간날때 호띵엄마랑 더 자주 산책을 나갈 예정이다. 우리 호띵이가 잘크고 있어 기분이 좋았다.
글을 마치며
이번 진료에서는 성별을 확실히 알 수 없다는 놀라운 소식을 전해들었다. 호띵이가 남자아이든 여자아이든 관계는 없지만 마음의 준비를 미리하고싶었는데 침착함을 기르라는 하늘의 뜻으로 생각하고 있다. 호띵엄마 배가나올수록 이제 곧 아빠가 될 것이라는 생각을 하게 된다. 호띵엄마 컨디션 좋을 때 최대한 산책도 많이가고 이야기도 많이하면서 둘의 추억을 더 많이 만들 계획이다. 그리고 요즘은 저녁에 클래식을 듣고있는데 예비 부모가 함께 클래식을 듣는 것은 괜찮은 것 같다. 서로의 마음이 차분해지면서 평온한 하루로 마무리할 수 있기 때문이다. 그리고 유투브로 임산부 요가를 같이 하고 있는데 매주 최소 3회 이상하려고 목표는 하고 있지만 호띵엄마 컨디션을 봐가면서 최소 1회라도 할 계획이다. 호띵엄마/호띵이 둘다 건강하게 남은 5개월을 보내고 호띵이가 밝은 세상을 맞이하길 바란다.
요즘 보고 있는 임산부 요가
나도 몸이 유연하지 못해 하고나면 개운함을 느꼈다. 주 3회 이상 호띵엄마랑 같이하면서 출산할 때 더욱 건강할 수 있도록 노력할 것이다.
'육아일기' 카테고리의 다른 글
| 23주 2일차 병원 진료 일기 ("2차 정밀초음파") (0) | 2022.04.26 |
|---|---|
| 남해 태교여행 숙소 선정 후기 (4) | 2022.04.22 |
| 태교여행 예약 후기("정선 파크로쉬 예약 후기") (0) | 2022.03.17 |
| 임산부 보건소 신속 항원 검사 키트 배부 (0) | 2022.03.15 |
| [16주 3일차 육아일기] 16주차 초음파 후기 및 성별 간접 확인하기 (0) | 2022.03.08 |