이전글 : 2022.03.28 - [육아일기] - 호띵이(태아) 18주 6일 검진 후기
호띵이(태아) 18주 6일 검진 후기
글을 시작하며 정기 초음파 검진을 받고자 병원 예약을 하였다. 3/25 16:05분 예약을 하여 미리 병원에 가서 대기하였다. 여느때와 같이 사람이 많았고, 15:30분쯤 미리 가있었는데 17:00즈음에 진료
hoddingdaddy.tistory.com
글을 시작하며
우리부부 코로나확진에 따라 2주전 금요일에 진료보기로 했던 것을 4.25일 진료로 변경하여 정밀초음파를 보게 되었다. 다행히 호띵엄마가 열이 많이 나지 않아 그나마 수월하게 코로나를 이겨냈음에 감사하며 이번 23주차 병원 진료 후기를 기록해나가도록 하겠다.

2차 정밀 초음파 진료후기
2차 정밀초음파는 뇌.손가락.발가락.심장.척추.코.인중.귀.입술 전체적으로 호띵이가 건강하게 잘 자라고 있는지 상세하게 확인하였다.

머리

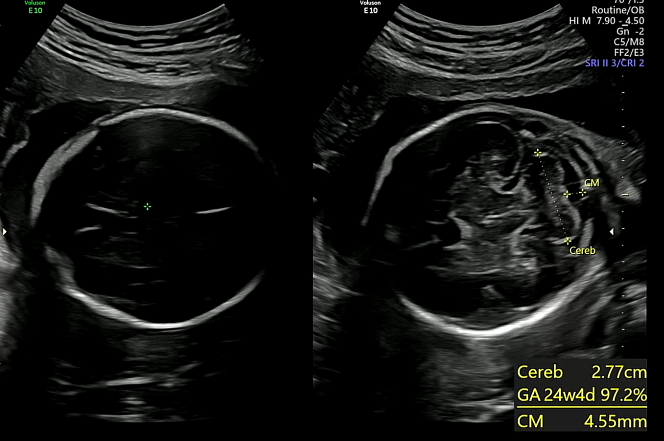
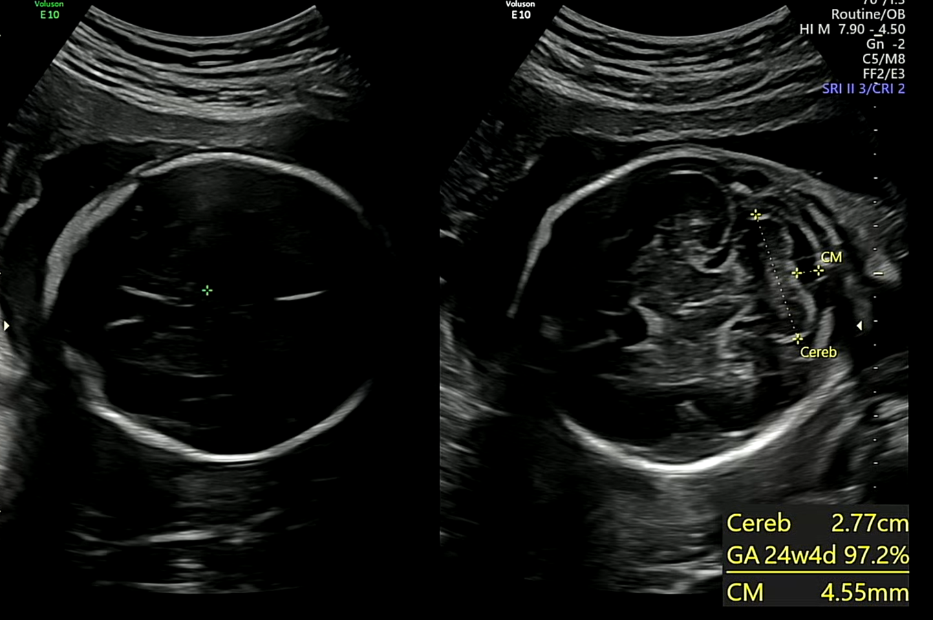
정밀초음파 시작으로 가장 먼저 확인한게 바로 머리크기다. 머리가 잘 자라고 있는지 확인하는 것인데 머리크기는 25주 6일차 평균 태아의 성장상태인것과 같이 잘자라고 있음을 확인하였다.
※ 초음파 용어) BPD : 태아 머리 직경 , HC : 태아 머리 둘레

※ 초음파 용어) Cereb : 소뇌 장축 길이 , CM : 숨뇌 길이
뇌크기 또한 적정 수준에 맞게 잘 성장하고 있음을 초음파를 통해 알 수 있었다.
귀

귀도 문제없이 잘 형성되고 있음을 보았다. 우리 호띵이가 가장 먼저 세상을 만날 수단중 하나인 만큼 무럭무럭 잘 자라길 바란다.
척추

척추도 잘 크고 있는 것을 초음파를 통해 볼 수 있었다.
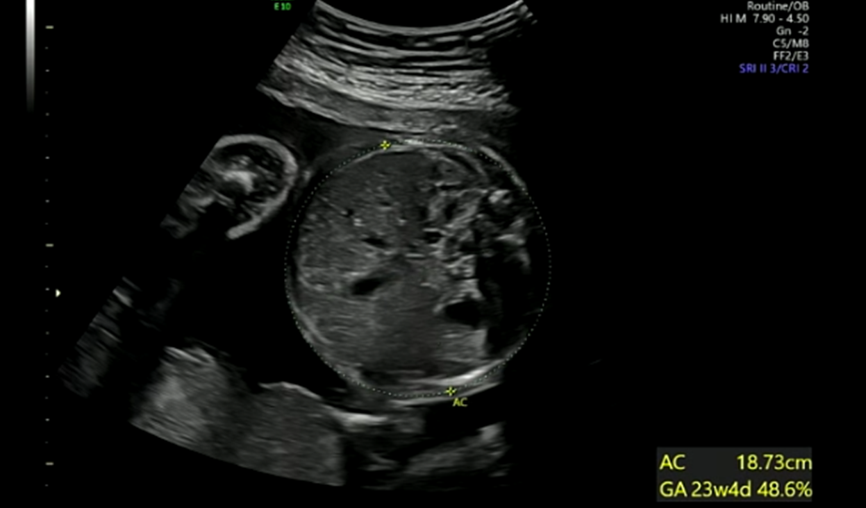
복부

※ 초음파 용어) AC : 복부 둘레
초음파 봐주시는 선생님께서 배도 잘 자라고 있다고 하셨다.
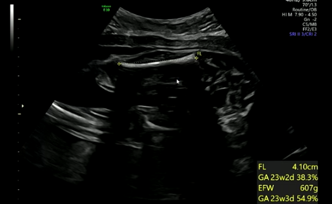
허벅지길이/몸무게

※ 초음파 용어 : FL : 허벅지 길이, EFW : 예상 몸무게
지금까지 확인한 것들

발가락

※ 초음파 용어) RT.FOOT : 오른쪽 발가락 , LT.FOOT : 왼쪽 발가락
발가락도 5개다 있음을 확인하였다.
손가락

※ 초음파 용어) LT.HAND : 왼쪽 손가락, RT.HAND : 오른쪽 손가락
손가락도 5개 다 있음을 확인하였다.
태반(양수)

※ 초음파 용어) AFI : 양수지수
양수지수도 문제있는 지 확인하였는데 다행히 별 문제 없었다.
심장

※ 초음파 용어) 4CV : 심실과 심방에 혈류 흐름 확인, 3VV : 폐동맥/대동맥 혈류흐름 확인
RVOT : 우심실 유출로, LVOT : 좌심실 유출로

심장에 피가 잘 공급되고 있는지 확인하였다. 이부분이 2차정밀초음파에서 꼭 확인해야하는 것중 하나라고 하셨는데 호띵이가 정면을 보고 눕지 않고 계속 옆으로 누워있는 바람에 바로 확인하기 힘들었다. 호띵엄마가 여러 자세를 바꿔가면서 겨우 볼 수 있었는데 심장에도 문제 없음을 확인하고 안심하였다.
눈

코/인중/입술

인중이 깨끗한지 보는 것도 중요하다고 하셨는데 호띵이가 계속 옆으로 누워있어서 겨우 문제없음을 확인하였다. 호띵이가 부끄러운지 정밀초음파볼때마다 옆으로 누워서 얼굴을 손으로 가리는데 수줍음이 많은 친구인것 같다.
열달후에 어플로 성장상태 확인하기
호띵엄마가 열달후에라는 어플을 알게되어 위의 정보들을 어플에 업데이트하니 성장상태를 한눈에 확인할 수 있었다.

어플 사용법은 인터넷 검색을 통해 알게 되었고, 위의 초음파 정보를 사진을 찍어두었다가 진료실을 나오자마자 어플에 기록하여 성장상태를 확인하였다.
성별

최종적으로 아들임을 알 수 있었다. 탯줄이 아니라 확실히 남자의 그곳이 있는 것을 확인하였는데 사실 봐도 이게 그게 맞는지 아닌지 햇갈린다. 호띵엄마가 매번 진료를 마치고 초음파 사진첩에 진료기록들을 정리하고있는데 호띵이가 엄마.아빠의 사랑을 느끼면서 더욱 건강하게 자라길 바란다.
글을 마치며
이번 2차정밀초음파에서는 전체적인 호띵이 건강상태를 확인하였다. 진료를 마치고 임당 검사를 예약하고 병원을 나왔다. 사진이 많다보니 글을 적는것보다 사진을 정리하는데 중점을 두었다. 사랑하는 호띵이를 만날날을 기대하며 글을 마친다.
'육아일기' 카테고리의 다른 글
| 태교여행 후기 (EP 01. 태교여행의 시작 하행 휴게소편) (1) | 2022.05.05 |
|---|---|
| 태교여행 준비물 정리 (2) | 2022.04.27 |
| 남해 태교여행 숙소 선정 후기 (4) | 2022.04.22 |
| 호띵이(태아) 18주 6일 검진 후기 (2) | 2022.03.28 |
| 태교여행 예약 후기("정선 파크로쉬 예약 후기") (0) | 2022.03.17 |