2022.04.26 - [육아일기] - 23주 2일차 병원 진료 일기 ("2차 정밀초음파")
23주 2일차 병원 진료 일기 ("2차 정밀초음파")
이전글 : 2022.03.28 - [육아일기] - 호띵이(태아) 18주 6일 검진 후기 호띵이(태아) 18주 6일 검진 후기 글을 시작하며 정기 초음파 검진을 받고자 병원 예약을 하였다. 3/25 16:05분 예약을 하여 미리 병
hoddingdaddy.tistory.com
글을 시작하며
23주 2일차 2차 정밀초음파 이후 5D 정밀초음파를 예약하고 오늘 진료를 보기 위해 병원을 다녀 왔다. 25주 5일차에 받게된 5D 정밀초음파와 임당검사를 받게된 과정을 기록하도록 하겠다.

임당 검사
2차 정밀초음파를 마치고 임당검사와 5D정밀초음파를 예약하면서 약을 하나 받았다. 글루오렌지 100이라는 의약품인데 진료일 전 12시간 금식후 진료 1시간전에 먹고오라는 약이었다.


글루오렌지 100액 (150mL) 의약품 정보 (클릭시 링크연결)
약학정보원
· [일반원칙] 내용액제(시럽 및 현탁액 등) , 2017.12.01
www.health.kr
임당검사에서 힘들었던 점은 12시간 금식이었다. 호띵엄마가 요즘 허기짐을 참기 어려워하고 물을 자주 마시는데 임당검사를 위해서 물을 못마시고 음식을 못먹었던 것이 가장 어려웠다. 정확한 검사결과를 위해 요구하는 바와 같이 12시간 금식 및 1시간 전 글루오렌지 섭취 후 병원으로 향하였다.

병원에 오자마자 혈압과 몸무게 측정 후 임당검사 접수를 마치고 채혈을 하였다. 목이 마른 호띵엄마를 위해 잽싸게 채혈실에서 종이컵을 챙긴 후 물을 따라 호띵엄마의 수분섭취에 도움을 주었다. 결과는 4일후에 나온다고 하니 정상수치로 건강하기만을 바랄뿐이다.
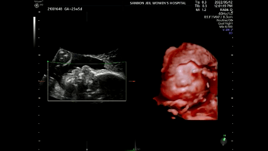
5D 정밀 초음파 후기

주수가 더 지날수록 아기 얼굴이 잘 안보인다고 하여 25주에 받게된 5D 정밀초음파. 호띵이의 얼굴을 입체적으로 볼 수 있다고하여 설레는 마음으로 예약한 시간에 맞게 초음파실에 들어가게 되었다.



호띵이의 자세가 매순간 바뀜에 따라 얼굴보기가 어려웠다. 그리고 얼굴에 계속 손을 가져다대서 온전하게 얼굴을 볼 수 있었던 순간이 많지는 않았다. 위의 사진은 그나마 얼굴이 제일 잘보이는 순간을 잘라서 편집을 했다. 호띵이 모습을 보면 엄마 얼굴을 닮은 거 같은데 어떤 부분은 또 나를 닮은거 같기도하고 어쨌든 사랑스러운 아기다.

초음파 영상에서 입에 손을 갖다대는 것과 하품하는 장면도 보았고 뱃속에서 쉴새없이 자세를 바꾸는 것도 보았다. 초기에는 얌전했던 호띵이가 커감에 따라 활발히 움직이는 걸 보니 약간 뭔지 모를 뿌듯한 감정도 느껴졌다.
5D 정밀초음파에서 확인한 호띵이 건강 상태
1. 손가락과 발가락 갯수 → 양호
2. 머리크기 → 양호
3. 몸무게 → 양호
4. 얼굴 (눈/코/입/귀 확인) → 양호
5. 심장박동수 → 양호
6. 양수길이 → 양호
7. 허벅지 길이 → 양호
8. 복부둘레 → 양호
※ 머리크기가 주수대비 조금 더 잘 자라고 있고 나머지는 주수에 맞게 잘 크고 있는 것을 확인하였다.
위의 6가지를 약 30분가량의 초음파를 통해 확인하였다. 오래 걸렸던 이유는 온전히 얼굴을 다 확인하기 위해서였는데 호띵이가 얼굴을 안보여주려해서 시간이 걸렸다. 1번째 초음파를 15분가량 진행하고 얼굴을 다 보지 못해 잠깐 나가서 병원내에 걸어다닌 후 2차 초음파 15분가량을 통해 확인해야할 것들을 최종 확인하였다.

손가락과 발가락은 5개씩 다 잘 자라고 있었고 귀도 잘자라고있었고 눈도 살짝뜨는것도 보았다. 심장박동수도 주차에 맞게 150bpm의 속도로 잘 뛰고 있었다. 실질적으로 정밀초음파는 이번이 마지막이라고 해서 호띵이 얼굴 제대로 보고싶었는데 부끄러움이 많고 활발하게 움직이는 아기라 그런지 매번 얼굴에 손을 가져다대는 바람에 얼굴을 다 보지는 못하였다.

호띵엄마도 슬슬 배가 좀 많이 불러와서 그런지 발을 아파한다. 잠자기 전에 발마사지를 해주는데 아직은 마사지가 익숙하지 않아서 그런지 나의 마사지에 대해 호띵엄마가 그렇게 만족스러워 하지는 않는다. 그럼에도 불구하고 호띵엄마가 원한다면 매순간 적극적으로 행동할 생각이다. 임신할때 남는 안좋은 기억이 평생간다는데 호띵엄마한테 그런 기억을 남겨주고 싶지 않아서이다.

이번 진료에 따른 최종 진료비는 43,700원이었다. 예상으로는 8만원가량을 생각했지만 보험이 되서 그런지 생각보다는 낮은 진료비였던 것 같다. 우리나라가 의료보험이 체계적으로 잘 적용되어 있는데 이러한 제도는 꾸준히 유지가 되었으면 하는 바람이다.
글을 마치며
기존과 달라진 점
- 초음파실 이외 진료실은 남편 입장 불가였던 것이 위드코로나로 바뀜에 따라 동반 입장이 가능하여 처음으로 진료실을 같이 갔다.
- 산본제일병원 조리원도 들렀는데 남편도 같이 입실된다는 사실을 듣고 놀랐다.
- 임산부를 위한 산본제일병원에서 운영중이었던 똑소리 문화센터가 코로나때는 미운영이다가 5월부터는 운영하는 것으로 바뀌었다.

토요일에 아쿠아로빅이 있는 줄 할고 재빨리 확인하였으나 월/수는 운영중이고 아직 토요일은 운영하지 않는것 같다. (확실치는 않지만 홈페이지상 예약할 수 있는 것이 없었다.) 남편과 함께하는 부부라마즈 교실은 참여할 계획이다. 한번정도는 같이 들으면서 호띵엄마를 도와줄 수 있는 것은 최선을 다해 도와주고자 한다.
호띵이가 잘크고 있는 것을 보니 기분이 좋았다. 한참을 움직이다 여러번 하품하는 것까지 보니 매순간 움직임에 최선을 다하는 아이인 듯 하다. 앞으로 함께할 호띵아 엄마,아빠가 기다리고 있으니 지금처럼 건강하게 잘자라고 있거라!
'육아일기' 카테고리의 다른 글
| 태교 여행 후기 (EP 06. 남해에서의 마지막 밤 , "남해 더 힐 펜션") (2) | 2022.05.18 |
|---|---|
| 태교 여행 후기 (EP 05. 독일 마을, 원예예술촌) (2) | 2022.05.16 |
| 태교 여행 후기 (EP 04. 스테이 남해에서의 1박) (0) | 2022.05.10 |
| 태교 여행 후기 (EP 03. 남해 여행 _ 다랭이마을/섬이정원) (0) | 2022.05.08 |
| 태교 여행 후기 (EP 02. 남해 애슬로우에서 1박) (1) | 2022.05.06 |